研究課題のご案内
研究所分子病理分野では、病理診断科医師だけでなく、他科の研究に興味のある臨床医にも常にラボをオープンにしております。各人は、共通のテーマである『がん患者の治療成績向上・予後改善に病理形態学を基盤にした研究からアプローチする』に沿った研究を展開し、定期的な研究ミーティングで研究内容をディスカッションし、一丸となって研究を進めています。以下に分子病理分野で行われている研究の概要をご紹介します。
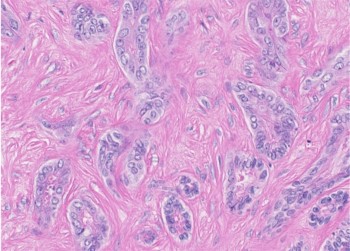
1 胆道領域癌の生物学的特性を反映した腫瘍進展様式(Intraductal carcinoma component; IDCC)の提唱とその分子機構の解明
非常に多数の胆道癌手術標本の肉眼所見・組織形態を詳細に観察し、個々の症例の臨床経過との相関を詳細に検討すると、胆道癌の腫瘍進展様式には大きく腫瘍周囲に上皮内癌成分(Intraductal carcinoma component; IDCC)を有するIDCC付随型と非付随型に2分できることを見いだしました。IDCC付随型症例は切除症例のおよそ37%に認められ、局所における浸潤性増殖が非付随型より軽微な傾向にあり、予後良好で、胆管切除断端の臨床病理学的意義にも大きく寄与する治療法選択の新たな指針となることから、強力な予後因子として提唱しました。
IDCCと関連する分子機構の解明のため、臨床病理学的データベースと紐づけされた遺伝子発現プロファイル解析、Gene Set Enrichment Analysisを行った結果、IDCC非付随型はIDCC付随型に比して、浸潤・増殖・転移に関連する特徴遺伝子群が有意に高発現し、特にEpithelial Mesenchymal Transition(EMT)関連遺伝子が胆道癌の発生部位に関係なく高発現していることが示されました。これらの結果から、病理形態学的所見で得たIDCCの臨床病理学的特徴を分子病理学的に裏付けただけでなく、胆道癌進展に関わる分子機構の一端にEMTの深い関与が明らかになりました。さらに関与が考えられる分子の同定を行っております。
2.多数の胆道癌バイオリソースの獲得、臨床病理学的データおよび情報子発現データベースの確立
生物学的特性を反映する機能分子の同定や機能解析、これらの臨床応用を検証する際に必要かつ非常に強力なツールとされる、臨床・病理・遺伝子情報が“紐づけ”された多数の胆道癌バイオリソース(新鮮切除検体凍結材料・ゼノグラフトモデル・細胞株)を得るため、国立がん研究センターにおいて胆道癌の凍結検体を蒐集、免疫不全マウスを用いたゼノグラフトモデルと細胞株樹立を試みました。最終的には、250例ほどの凍結検体、本国では最大級となる26症例のゼノグラフトモデルと亜型を含め13細胞株の樹立を行いました。これらに600症例近くの臨床病理学的データベース、凍結検体から得た遺伝子発現・異常のデータベースを整備し、体系的な胆道癌研究を行う環境を整備しました。現在も、国立がん研究センターとの共同研究の一環としてこれらを用いた研究が継続されています。また、樹立された細胞株は、東北大学加齢医学研究所医用細胞資源センター・細胞バンクで一部が頒布されています(https://www2.idac.tohoku.ac.jp/dep/ccr/index.html)
3.多数の新規抗がん剤の前臨床試験
胆道癌には有効な化学療法が存在していないため、製薬会社との共同研究として保有する胆道癌バイオリソースやデータベースを用いて、多数の新規抗がん剤の前臨床試験を行いました。これらの中には、先のIDCC非付随型に関連した腫瘍の浸潤・発育に重要な役割を示すと考えられる上皮成長因子受容体(Epidermal Growth Factor Receptor; EGFR)や血管内皮細胞増殖因子受容体(Vascular Endothelial Growth Factor Receptor; VEGFR)などのチロシンキナーゼ分子を標的とした新規抗がん剤も含まれ、いずれも有効な薬剤効果が認められました。このことから、実際の薬剤を用いた検討でもこれらの分子が腫瘍増殖・進展への関与していることが示され、さらに一部の薬剤は臨床医と製薬会社に橋渡しして、臨床試験へと進めることができました。
腫瘍の進展・増殖に関与する新たな候補分子が発見され、その阻害薬が存在する場合は、このシステムを今後も応用して、前臨床試験につなげてゆきます。
腫瘍の進展・増殖に関与する新たな候補分子が発見され、その阻害薬が存在する場合は、このシステムを今後も応用して、前臨床試験につなげてゆきます。
4. 肝内胆管癌の多様性に関する分子病理学的検討
肝内胆管癌の形態所見に基づく分類と、形態分類に紐づけられた遺伝子発現解析を実施しています。網羅的遺伝子発現解析の結果から、特異的な臨床病理学特徴を有する肝内胆管癌のサブタイプを同定しており、このサブタイプの治療に結び付く可能性のある分子生物学的な病態の解明を進めています。
5. 肉腫の病理組織学的特徴と遺伝子発現プロファイルを用いた統合的分析
肉腫は特徴的な組織像と遺伝子の融合や増幅、または変異に基づいて組織分類されます。症例数が少ない上に、診断に欠かせない特定の抗体へのアクセスが難しいため、診断に難渋する場合が少なくありません。当院では蓄積された豊富な肉腫症例があり、FISHやNGSを用いた統合的な解析を行い、診断や分類、病態の解明に取り組んでいます。またDeep Learningを用いた診断補助ツールの開発や組織分類にも取り組んでいます。
6.術前腫瘍マーカーの上昇の数と膵癌術後の予後の関係
本邦では2020年より術前化学療法が標準治療となったが、膵癌の根治切除後再発率は依然として高く、満足のいく予後は得られていない。切除前に膵癌の予後を予測できることは極めて有用なことである。術前に測定できる膵癌の腫瘍マーカーに着目して、予後との相関を解析しています。
7.肝細胞癌のオミックスデータに基づく分類
多くの癌腫において、オミックスデータに基づくサブタイプ分類が行われています。癌のサブタイプ分類は、治療法選択や予後予測の向上、個別化治療の開発などが期待されます。肝細胞癌では主に遺伝子発現プロファイルに基づくサブタイプ分類が行われてきましたが、その他のオミックスデータとの統合解析により、肝細胞癌の治療に貢献し得る新たなサブタイプの確立をめざします。
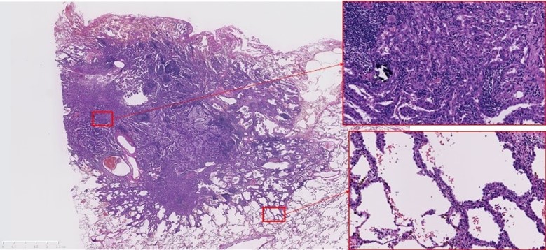
8.深層学習を用いた肺腺癌の診断と臨床病理学的意義の検討
肺がんは現代でも罹患者・死亡者ともに上位5位以内に含まれる非常にメジャーな悪性腫瘍です。中でも最も多い組織型である肺腺癌を対象として,肺腺癌をさらに細かい亜型に分類する Deep learningモデルを作成しています。日常の病理診断で実践される肺腺癌亜型は、悪性度との関わりや脈管侵襲などの病理学的因子との関わりについて徐々に理解されてきてはいるものの、未解明の部分は多く残されています。Deep learningを用いることで予後に与える影響についてさらなる知見の解明に繋げることを目指しています。
