特長
呼吸器科として治療方針決定
当センターでは、胸部腫瘍に対し呼吸器内科と呼吸器外科が合同で治療に当たっています。初診時は、曜日によって呼吸器内科か呼吸器外科が対応し、精査を行いつつ毎週月曜日に行われている呼吸器キャンサーボード(多職種カンファレンス)にて治療方針を決定していきます。その後治療の段階で、手術を軸とする治療は呼吸器外科が、薬物治療など手術以外の治療を軸とする場合は呼吸器内科が担当します。
エビデンス(科学的根拠)に基づいた治療とより良い治療探索への試み
肺がんの治療は日進月歩で更新されており、科学的根拠に基づいた治療が様々なガイドラインに示されています。呼吸器外科では、日本肺癌学会による肺癌診療ガイドラインや海外のスタンダードなガイドライン(NCCNガイドラインなど)をもとに、患者さんにとって最適と考えられる治療を提供します。また、より良い治療を提供するためのエビデンスを作るため、日本中の多施設で行う臨床試験に積極的に参加し、最新治療の情報を得るように努めています。
早期肺がんに対する低侵襲手術や縮小手術の選択
早期肺がんに対して、患者さんの負担を少なくする低侵襲手術を行っています。胸腔鏡手術やロボット支援下肺切除手術を導入しています。小さな創で肋骨を切らないため体に負担が少なく、肺癌の標準手術である肺葉切除術を行った場合でも手術後約1週間で退院が可能となります。また、早期肺がんの中でも後述しているようなすりガラス影のような超早期肺がんに対しては、肺機能をなるべく温存する目的で、肺部分切除や肺区域切除のように肺をなるべく小さく切除する縮小手術も行っています。
進行した胸部悪性腫瘍に対する手術を含めた集学的治療
リンパ節転移や隣接臓器へ浸潤を認めるような進行肺がんや悪性胸腺腫のような腫瘍に対しては、手術による切除だけでは治癒が困難です。そのような症例には、呼吸器内科や放射線治療部と合同で、抗がん剤などの薬物治療や放射線治療を手術と組み合わせた集学的治療を行います。当初切除が困難と判断された症例でも集学的治療により手術が可能となり、治癒が得られる症例も認められます。
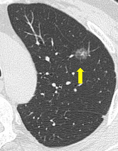
CTで発見されるすりガラス影病変の経過観察
近年、CT検診の普及などにより、通常のレントゲンでは発見できない淡いスリガラス結節(図4)が発見されることが多くなりました。小さなスリガラス影は経過をみても変化を示さないものが多いのですが、一部では数年の経過で増大傾向を示す切除が必要な肺癌を含んでいます。当センターでは最新のヘリカルCTを使用し、CT検査による被曝線量も考慮し、適切な経過観察および手術療法を行っています。
担当疾患
- 肺がん及び肺がん疑い病変
- 転移性肺腫瘍
- 縦隔腫瘍(胸腺腫、胸腺がん、神経鞘腫、胚細胞腫瘍 など)
- 悪性胸膜中脾腫
- 胸膜腫瘍
- 良性肺腫瘍(過誤腫、奇形腫 など)
常勤医師
統括診療部 副部長
(呼吸器外科 兼務)
松隈 治久
まつぐま はるひさ
専門分野・実績
呼吸器外科
宮崎医科大学卒 医学博士
認定資格
日本外科学会 外科専門医・外科指導医
呼吸器外科専門医合同委員会 呼吸器外科専門医
ダビンチサージカルシステム認定資格
所属学会
日本外科学会
日本呼吸器外科学会
日本胸部外科学会
日本肺癌学会 等
その他情報
呼吸器外科テキスト改定第2版で「肺がんの併用療法」を担当 2021年南江堂出版
統括診療部 副部長
呼吸器外科 科長
中原 理恵
なかはら りえ
専門分野・実績
呼吸器外科
浜松医科大学卒
認定資格
日本外科学会 外科専門医
呼吸器外科専門医合同委員会 呼吸器外科専門医
日本呼吸器外科学会 胸腔鏡安全技術認定医
所属学会
日本外科学会
日本呼吸器外科学会
日本胸部外科学会
日本肺癌学会 等
呼吸器外科 医師
梅田 翔太
うめだ しょうた
専門分野・実績
呼吸器外科
獨協医科大学卒
認定資格
日本専門医機構認定外科専門医
日本医師会認定産業医
実績・業績
手術件数および対象疾患
| 2017年 | 2018年 | 2019年 | 2020年 | 2021年 | |
|---|---|---|---|---|---|
| 全手術数 | 114 | 123 | 139 | 133 | 135 |
| 原発性肺がん | 80 | 88 | 101 | 102 | 99 |
| 転移性肺腫瘍 | 16 | 20 | 16 | 20 | 20 |
| 縦隔腫瘍 | 5 | 2 | 11 | 4 | 2 |
| その他 | 13 | 13 | 11 | 7 | 14 |
原発性肺がんに対する手術方法
