特長
画像診断の役割
放射線診断科では、診療各科の先生方から依頼を受け、画像診断機器を用いて患者さんの画像を撮影し、画像から拾い上げた診断情報を報告書にまとめて依頼医に報告することで、病気の診断・治療に貢献しております。がん診療に求められる専門性の高い画像診断を行うため、カンファレンス等を通して診療各科と連携を取りながら診療にあたっております。
最新の診断装置の利用
320列マルチスライスCT 1台、80列MDCT 1台、MRI 2台(1.5T、3T各1台)をはじめ、ガンマカメラ、X線撮影機器やマンモグラフィ装置等を有しています。精度の高い画像診断が提供できるよう、これらの診断機器を有効かつ効率的に利用するとともに、最新技術の情報入手・撮影への反映を心がけております。
中央部門としての役割
センター内の診療各科から依頼を受ける中央部門としての役割に応えるため、放射線診断を専門とする医師のみではなく、撮影に当たる放射線技師、患者さんをサポートする看護師、受付業務を担う事務員と協力し、一つのチームとして業務にあたっております。
担当検査
- 単純X線撮影検査
- CT検査
- MRI検査
- 上部消化管造影検査
- 下部消化管造影検査
- 核医学検査
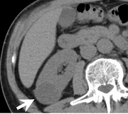
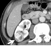
術前CT精査の例(腎細胞癌)
術前精査では、組織診断を推定するための造影 dynamic study(図1-4)と体幹部を含めたスキャンによる病期診断、また、手術シュミレーションに活用できる立体像(図5,6)作成を行っています。
| 図1 造影前CT 病変は腎実質よりも低吸収である |
図2 造影 dynamic CT 動脈相 病変は不均一な造影効果を示す |
![]() |
![]() |
| 図3 造影 dynamic CT 実質相 病変は再び低吸収となる |
図4 造影 dynamic CT 排泄相 病変はさらに低吸収が明瞭となる |
![]() |
![]() |
| 図5 造影CT再構成A 右腎動脈は太い枝と細い枝と2本存在する |
図6 造影CT再構成B 動脈(橙色)、静脈(水色)、腎臓(紫色)、病変(赤)で立体的に表示 |
![]() |
![]() |
常勤医師
放射線診断科 医師
伊東 紘子
いとう ひろこ
専門分野・実績
東京女子医科大学卒
認定資格
日本医学放射線科学会放射線診断専門医
日本専門医機構認定放射線診断専門医
NPO法人日本乳がん検診精度管理中央機構認定マンモグラフィ読影認定医






