特長
エビデンス(科学的根拠)に基づいた治療を行います
これまで、大腸がん治療に関する臨床研究を積み重ねてきたことで、昨今のがん治療はまさに日就月将の勢いで進歩しています。私達は、質の高い科学的なデータに裏付けされたがん治療をご提案いたします。
高度ながん医療を提供するよう努めています
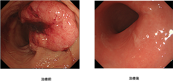
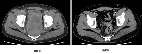
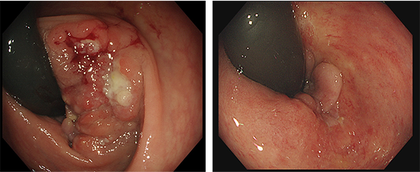
政府の「がん医療の均てん化政策(https://www.mhlw.go.jp/stf/shingi/other-kenkou_128568.html)により、多くの病院で良質ながん医療を受けることができるようになってきました。近年では、地域の拠点となる病院では、より高度で専門的ながん医療を行うことを目指した「がん医療の集約化」が重要視されています。そうした中、私達は本邦のガイドライン(https://www.jsccr.jp/guideline/index.html)だけではなく、欧米のガイドライン(https://www.nccn.org/guidelines/category_1)、(http://interactiveguidelines.esmo.org/esmo-web-app/toc/index.php?subjectAreaId=3&loadPdf=1)や大規模な臨床試験など、常に最新のがん治療にアンテナを張り、その時点で最良と思われる治療を提供できるように努めています。また、他の病院では手術ができないと言われたような場合や人工肛門が必要だと言われた場合でも、本当にできないのか、人工肛門を回避できる方法はないのかなど、内科や放射線科、病理診断科など、がんを専門とする複数の診療科とともに合同カンファレンスを行い、最適な治療法を常に模索しています(図1-5)。
また、手術の際には、複数の科で入念に準備し、万全の体制で手術に臨むよう努めています。
ロボット支援下手術により安全に吻合できるようになったため人工肛門が回避できた。
患者さんにとってどのような治療がもっともよいかを考えています
治療法を決定するうえで、科学に裏付けされた医療が大切であるのと同時に、患者さん個々の事情を考慮することもとても重要です。患者さん自身やご家族にとってどのような治療がもっともよいのかということを私達は常に考えて、患者さんひとりひとりにあった治療法を患者さんといっしょに探してまいります。医師、看護師、薬剤師など多職種のスタッフによるカンファレンスを行い、個々の患者さんの社会背景なども十分に議論しながら患者さんをサポートしていくように努めています。
患者さんに優しい手術を提供できるように心がけています
患者さんに優しい手術とは、体への負担が少ない手術のことをいいます。私達はできるだけおなかのキズを小さくすることで、キズの痛みや臓器への負担を軽くするように努めています。小さなキズで手術を行う腹腔鏡下手術(図6)にくわえ、近年ではロボット支援下手術(図7)も行っています。当院では大腸がん患者さんの80%以上に腹腔鏡下手術またはロボット支援下手術を行っています。
腹腔鏡下手術
おなかに10mmほどの細長いスコープ(カメラ)を挿入して、おなかの中の様子をテレビモニターに映し出します。医師は5mmほどの細長い手術器具(鉗子)をおなかの中に挿入して、モニターの映像を見ながら手術を行います。キズが小さいため、従来の開腹手術にくらべて傷跡があまり目立ちません。また、痛みが少ないため、術後のからだの回復が早いという利点があります。一方で、腹腔鏡下手術は高度な技術を要します。日本内視鏡外科学会では、この腹腔鏡下手術の実技審査:技術認定制度(https://www.jses.or.jp/modules/gijutsunintei/index.php?content_id=1)で合格した医師を「後進の指導にたる者」としています。この試験の合格率は30% くらいと言われていますが、当院ではこの狭き門をくぐることのできた技術認定医(大腸)が現在3名います。当院ではすべての腹腔鏡下手術に技術認定医が参加し、安全な手術が行えるように努めています。また、これまでに当院でこの審査に合格した医師の多くは、現在全国各地で指導医師として活躍しています。
ロボット支援下手術
当院では2020年10月からロボット支援下手術を開始いたしました。ロボット支援下手術では、腹腔鏡下手術の鉗子に相当する部分をロボットに装着します。医師はコクピットからこの鉗子類を遠隔操作して手術を行います。当院ではintuitive surgical社の「ダビンチサージカルシステムXi(https://www.intuitive.com/ja-jp)」という最新モデルを採用しています。
ロボット支援下手術では、高画質3D立体的映像のもとで手術を行うため、腹腔鏡下手術の欠点であった遠近感覚が改善されます。また、使用する鉗子類は人間の手よりも広い可動域を持ち、複雑かつ繊細な動きが可能なため、術者の指先の動きを明確に再現することができます。なおかつ手振れ防止機能も有するため、従来の腹腔鏡下手術よりもさらに正確な手術を行うことが可能です。さらに、ダビンチXiサージカルシステムに内蔵された蛍光内視鏡の赤外線蛍光波長で臓器を観察すると、血液の流れ具合を確認することができます(図8)。この機能を使って血流が豊富な部分で腸管をつなぎ合わせると縫合不全の発生率が低下することが報告されており、人工肛門を回避しやすくなると考えています。
担当疾患
- 大腸がん(結腸がん、直腸がん、肛門管がん)
- 肛門がん
- 虫垂がん
- 小腸がん(十二指腸を除く)
- 消化管間質腫瘍(GIST)
- 消化管神経内分泌腫瘍(NET)
- 遺伝性大腸疾患(家族性大腸腺腫症やリンチ症候群)
- 転移性大腸がん
- 大腸がん術後局所再発
- 炎症性腸疾患(潰瘍性大腸炎やクローン病)に併発した大腸がん
- 複数臓器にまたがるような骨盤内の腫瘍
- 後腹膜腫瘍(肉腫など)
常勤医師
大腸骨盤外科 科長
がん予防・遺伝カウンセリング科 科長(兼務)
宮倉 安幸
みやくら やすゆき
専門分野・実績
弘前大学卒、自治医科大学院卒 医学博士
認定資格
日本外科学会専門医•指導医
日本消化器外科学会専門医•指導医
日本大腸肛門病学会専門医・指導医・評議員
日本消化器病学会専門医・指導医
日本消化器内視鏡学会専門医・指導医
日本消化管学会胃腸科専門医・指導医
日本内視鏡外科学会技術認定医(大腸)
日本内視鏡外科学会評議員
ロボット支援手術プロクター(大腸)
臨床遺伝専門医・指導医
遺伝性腫瘍専門医・指導医・評議員
消化器がん外科治療認定医
日本がん治療認定医機構認定医
大腸癌研究会世話人
身体障碍者福祉法指定医
難病指定医
診療日
【一般外来】
水(午前)
火(第1午前)※化学療法患者
大腸骨盤外科 副科長
中西 亮
なかにし りょう
専門分野・実績
北里大学卒
認定資格
日本外科学会専門医
日本消化器外科学会専門医•指導医
消化器がん外科治療認定医
日本消化器内視鏡学会専門医・指導医
日本消化器病学会専門医・指導医
日本大腸肛門病学会専門医
日本ロボット外科学会会員
Certificate of da Vinci patient-side surgeon
日本内視鏡外科学会技術認定医(大腸)
診療日
【一般外来】
水(午前/第1•3•4午後)
火(第3午前)※化学療法患者
大腸骨盤外科 医長
豊田 尚潔
とよた なおゆき
専門分野・実績
慶應義塾大学卒 医学博士
認定資格
日本外科学会専門医
日本消化器外科学会専門医
消化器がん外科治療認定医
日本消化器内視鏡学会専門医
日本大腸肛門病学会専門医
日本内視鏡外科学会技術認定医(大腸)
Certificate of da Vinci console surgeon
日本内視鏡外科学会ロボット支援手術認定プロクター(da Vinci S,Si,X,Xi 大腸)
日本消化器内視鏡学会スクリーニング認定医(上部および下部)
臨床遺伝専門医
診療日
【一般外来】
水(午前)
大腸骨盤外科 医長
佐々木 健人
ささき たけと
専門分野・実績
慶應義塾大学卒 医学博士
認定資格
日本外科学会専門医
日本消化器外科学会専門医
日本がん治療認定医
消化器がん外科治療認定医
大腸骨盤外科 医長
﨑本 優里
さきもと ゆうり
専門分野・実績
佐賀大学卒
認定資格
日本外科学会専門医
副理事長(非常勤)
大腸骨盤外科
藤田 伸
ふじた しん
専門分野・実績
慶應義塾大学卒 医学博士
認定資格
日本外科学会認定登録医•指導医
日本消化器外科学会認定登録医•指導医
消化器がん外科治療認定医
日本がん治療認定医機構認定医
JCOG0212臨床試験研究事務局研究代表者
上級臨床倫理認定士
診療日
【一般外来】
月(午前/午後)
火(午前/午後)
診療実績
1.手術件数の推移
| 2019 | 2020 | 2021 | 2022 | 2023 | 2024 | ||
|---|---|---|---|---|---|---|---|
| 結腸癌 |
腹腔鏡下手術 | 64 | 61 | 68 | 57 | 15 | 33 |
| 開腹手術 | 7 | 6 | 13 | 19 | 51 | 9 | |
| ロボット手術 | 0 | 0 | 0 | 4 | 14 | 32 | |
| 総数 | 71 | 67 | 81 | 80 | 80 | 74 | |
| 直腸癌 | 腹腔鏡下手術 | 38 | 35 | 28 | 29 | 4 | 7 |
| 開腹手術 | 1 | 2 | 6 | 6 | 26 | 6 | |
| ロボット手術 | 0 | 8 | 20 | 21 | 29 | 44 | |
| 総数 | 39 | 45 | 54 | 56 | 59 | 57 | |
| 結腸癌+直腸癌 | 総数 | 110 | 112 | 135 | 136 | 139 | 131 |
| その他の手術 | 61 | 47 | 55 | 58 | 72 | 46 | |
表1.当院の大腸がん手術件数の推移(NCDデータから抽出)
原発性大腸がん以外の悪性腫瘍(NETやGISTなど)はその他に分類しています。
2.5年生存率(図9)

左:結腸がんの病理学的ステージ別5年生存率
右:直腸がんの臨床的ステージ別5年生存率
現在登録進行中の臨床研究
| 試験名 | 略称 | 実施組織 | |
|---|---|---|---|
| 1 | 後期高齢者低位直腸癌(高リスク pT1、低リスク pT2)に対する準標準的治療を評価する多施設共同前向き観察研究 | 高齢者直腸癌前向き観察研究 | 国立研究開発法人国立がん研究センター |
| 2 | 「再発リスク因子」を有する Stage II 大腸癌に対する術後補助化学療法の有用性に関するランダム化第 III 相比較試験(JCOG1805) | PanDRa-BD | 日本臨床腫瘍研究グループ(JCOG) |
| 3 | 切除不能進行・再発大腸癌に対する二次化学療法におけるFOLFIRI療法と併用するVEGF阻害薬(ベバシズマブ、ラムシルマブ、アフリベルセプト)の選択に有用なバイオマーカーを探索するランダム化第Ⅱ相試験(JCOG2004) | Brave Ace study | 日本臨床腫瘍研究グループ(JCOG) |
| 4 | 直腸癌に対する腹腔鏡下経肛門的全直腸間膜切除術(LAC-taTME)の安全性の評価 | 自施設 | |
| 5 | Stage II大腸癌のハイリスク因子に関する前向き観察研究 | 大腸癌研究会 | |
| 6 | 骨盤内腫瘍に対するロボット支援下骨盤内臓全摘術の安全性の評価 | 自施設 | |
| 7 | 臨床病期IIIの下部直腸癌に対するtotal neoadjuvant therapy(TNT)および選択的側方リンパ節郭清のランダム化比較第III相試験(JCOG2207) | MARIAGE | 日本臨床腫瘍研究グループ(JCOG) |
| 8 | 切除不能大腸癌に対するトリフルリジン・チピラシル+ ベバシズマブの従来法と隔週法の実用的ランダム化第Ⅲ相試験 | PRABITAS | 愛知県がんセンター |
| 9 | 右側結腸癌に対する右側結腸切除術で副右結腸静脈根部付近のリンパ節の取り扱いに関する多施設共同前向き観察研究 | 大腸癌研究会 |
論文の業績(2020-2024)
-
Miyakura Y, Yamaguchi T, Lefor AK, Tamaki S, Takao A, Takao M, Mori Y, Chikatani K, Ishida H, Kono M, Takeuchi Y, Ishikawa H, Nagasaki T, Sasaki K, Matsubara T, Hirata K, Taniguchi F, Tanakaya K, Tomita N, Ajioka Y. Clinical features and distribution of the APC variant in duodenal and ampullary polyps in patients with familial adenomatous polyposis: a multicenter retrospective cohort study in Japan. Int J Clin Oncol. 2024 Feb;29(2):169-178. 2024
-
Nakanishi R, Ozawa H, Toyota N, Mise M, Akutsu R and Fujita S. Acute Infectious Purpura Fulminans Complicated by Bacterial Translocation after Rectal Cancer Surgery: A Case Report. Medicina. 60. 644. 2024.
-
Nakanishi R, Ozawa H, Toyota N, Mise M and Fujita S. Effect of Preoperative Oral Antibiotics for Prevention of Incisional Surgical Site Infection After Colorectal Surgery: A Propensity Score Matching Study. Medicina (Kaunas). 2024 Nov 29;60(12):1970. doi: 10.3390/medicina60121970.
-
Nakanishi R, Ozawa H, Toyota N, Mise M, Akutsu R and Fujita S. Acute Infectious Purpura Fulminans Complicated by Bacterial Translocation after Rectal Cancer Surgery: A Case Report. Medicina. 60. 644. 2024.
-
Ozawa H, Toyota N, Nakanishi H, Sakamoto J, Nakanishi R, Fujita S. Mid-term outcomes of intracorporeal versus extracorporeal anastomosis after laparoscopic colectomy: a propensity score-matched cohort study from a single institution. Surgery Today. 53. 992-1000, 2023.
-
・Nemoto D, Guo Z, Katsuki S, Takezawa T, Maemoto R, Kawasaki K, Inoue K, Akutagawa T, Tanaka H, Sato K, Omori T, Takanashi K, Hayashi Y, Nakajima Y, Miyakura Y, Matsumoto T, Yoshida N, Esaki M, Uraoka T, Kato H, Inoue Y, Peng B, Zhang R, Hisabe T, Matsuda T, Yamamoto H, Tanaka N, Lefor AK, Zhu X, Togashi K. Computer-aided diagnosis of early-stage colorectal cancer using nonmagnified endoscopic white-light images (with videos). Gastrointest Endosc. 98(1):90-99.e4. 2023
-
Ozawa H, Nakanishi H, Sakamoto J, Fujita S. Short-term outcomes of intracorporeal versus extracorporeal anastomosis after laparoscopic colectomy: a propensity score-matched cohort study from a single institution. Surgery Today. 52. 613-623, 2022
-
Miyakura Y, Chino A, Tanakaya K, Lefor AK, Akagi K, Takao A, Yamada M, Ishida H, Komori K, Sasaki K, Miguchi M, Hirata K, Sudo T, Ishikawa T, Yamaguchi T, Tomita N, Ajioka Y. Current practice of colonoscopy surveillance in patients with lynch syndrome: A multicenter retrospective cohort study in Japan. DEN Open. 3(1):e179. 2022
-
Nishizaki D, Hida K, Sumii A, Okamura R, Sakai Y, Konishi T, Akiyoshi T, Maruyama S, Okajima M, Miyakura Y, Yamamoto S, Morita S, Watanabe M; Japan Society of Laparoscopic Colorectal Surgery. Laparoscopic Versus Open Surgery for Locally Advanced Rectal Cancer: Five-Year Survival Outcomes in a Large, Multicenter, Propensity Score-Matched Cohort Study. Dis Colon Rectum. 65(8):1005-1014. 2022
-
Ozawa H, Nakanishi H, Sakamoto J, Suzuki Y, Fujita S. Prognostic impact of the number of lateral pelvic lymph node metastases on rectal cancer. Jpn J Clin Oncol. 50. 1254-1260, 2020.
-
Sakamoto J, Ozawa H, Nakanishi H, Fujita S. Usefulness of Carcinoembryonic Antigen Doubling Time in Prognosis Prediction after Curative Resection of Locally Recurrent Rectal Cancer: A Retrospective Study. Digestive Surgery. 39. 17-23, 2022.
-
Sakamoto J, Ozawa H, Nakanishi H, Fujita S. Oncologic outcomes after resection of para-aortic lymph node metastasis in left sided colon and rectal cancer. PLoS One. 15. e0241815, 2020.
-
Tanaka T, Ozawa H, Nakagawa Y, Hirata A, Fujita S, Sugihara K. Verifying the M1c category of CRC: analysis of the data from a Japanese multi-institutional database. Int J Colorectal Dis. 35. 125‒131, 2020.
-
小澤平太,丸山和子,小川洋子,瀬尾雄樹,鯉沼広治,石塚満,板橋道朗.ストーマ造設・ケアの実態に関する多施設アンケート調査—医師と看護師の各立場から.日ストーマ・排泄会誌.39巻3号:169‒178, 2023.
-
藤田伸,小澤平太,中⻄宏貴,坂本純一,尾澤巌,菱沼正一.ミニ調査票で明らかとなった診療グループ内における大腸がん診療体制認識の差(解説).日本臨床知識学会誌.3巻,1-2,2022.
-
豊田尚潔,小澤平太,中⻄宏貴,坂本純一,藤田伸.腹腔鏡下S状結腸切除術後に発症したDST吻合部腸重積の1例.日本臨床外科学会雑誌,83巻6号,1096-1102, 2022.
-
坂本純一,小澤平太,中⻄宏貴,豊田尚潔,藤田伸.75歳以上の高齢者Stage III大腸がんに対する術後補助化学療法の検討.がんと化学療法.49巻5号,553-556,2022.
-
坂本純一,豊田尚潔,中⻄宏貴,小澤平太,藤田伸.高齢者大腸がんに対する術後補助化学療法における栄養評価の有用性.がんと化学療法.49巻10号,1087-1091,2022.
-
田中俊道,小澤平太,宮川哲平,中⻄宏貴,平田玲,佐藤恵理,藤田伸.人工肛門閉鎖術後創に対する局所陰圧閉鎖療法の有用性の検討.日本消化器外科学会雑誌.53巻12号,945-951,2020.
